
Gingivitis, also generally called gum disease or periodontal disease, begins with bacterial growth in your mouth and may end — if not properly treated — with tooth loss due to destruction of the tissue that surrounds your teeth.
What’s the Difference Between Gingivitis and Periodontitis?

Gingivitis (gum inflammation) usually precedes periodontitis (gum disease). However, it is important to know that not all gingivitis progresses to periodontitis.
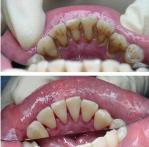
In the early stage of gingivitis, bacteria in plaque build up, causing the gums to become inflamed and to easily bleed during tooth brushing. Although the gums may be irritated, the teeth are still firmly planted in their sockets. No irreversible bone or other tissue damage has occurred at this stage.
When gingivitis is left untreated, it can advance to periodontitis. In a person with periodontitis, the inner layer of the gum and bone pull away from the teeth and form pockets. These small spaces between teeth and gums collect debris and can become infected. The body’s immune system fights the bacteria as the plaque spreads and grows below the gum line
Recent studies found that patients with periodontal disease have a 1.5 – 2.0 times greater risk of incurring fatal cardiovascular diseases than patients without periodontal disease. In fact, Oral Infections seem to increase the risk of coronary artery disease to a degree similar to the classic risk factors.
From: Periodontal Medicine: A New Paradigm
By: Debora C. Matthews, DDS, Dip. Perio, M.S.C
We offer oral maintenance programs under supervision of the Oral Hygienist.

